-

这个“隐形增肥帮凶”每个人天天都在吃! 2025-11-21
说到减肥,大家首先想到的是要减糖、控糖,毕竟现在互联网上到处都是控糖风,控糖似乎成了万能钥匙。还有一些人可能会对“减油”很在意,因为吃油就是吃脂肪,脂肪热量高,会让大家长肉。但对“减盐”就都不太在意了...
-

小雪时节,劝你多吃这几种果蔬,帮助抵御流感侵袭、感冒后尽快恢复健康~ 2025-11-21
小雪节气,寒流来袭,气温骤降,身体的免疫力可能会受到影响,也是流行性感冒趁虚而入的时节。因此,大家一定不要大意,要多关注、感受自己的身体状态,积极采取预防措施。可以通过食养提升自己的抵抗力,即便感染了...
-

这个地方的卫生,事关全家人的健康!但很多细节被忽略了 2025-11-19
“吃喝拉撒睡”是维持人类生命活动最基础、最本质的五个生理需求,其中两项都离不开厕所。厕所不仅是人们生活中不可或缺的基本卫生设施,更与人们的生活质量、文明健康、权力尊严等息息相关。2013年第67届联合国大会...
-

经常咳嗽、呼吸不顺畅?小心被它找上……出现这些信号要警惕! 2025-11-19
“最近上楼总喘,是不是年纪大了?”“老咳嗽,有痰,肯定是老烟枪了。”“入冬后这气总感觉不够用,歇歇就好了。”这些对话是否似曾相识?很多人会把活动后气短、咳嗽、咳痰简单地归咎于“年龄大了”或“抽烟的正常...
-

螃蟹不能这样吃!有人因此肺、肝等多个器官都坏了! 2025-11-18
食蟹正当时。无论是醉蟹、呛蟹,还是刚烤至半熟的螃蟹,都因其独特的口感成为餐桌上的“宠儿”。然而,如果饮食方式不当,这份“鲜”味的背后可能会潜藏着巨大的健康隐患:生食或半生食螃蟹,极有可能让肺吸虫悄悄侵...
-

联合国糖尿病日︱预防糖尿病,从改变生活方式开始 2025-11-14
2025年11月14日是联合国糖尿病日,今年的主题是“糖尿病与幸福感”。长期久坐、缺乏运动,加上高能量、高糖、高脂的失衡饮食结构,以及由此引发的超重与肥胖,共同为糖尿病的发生提供了“温床”。我们的身体难以适应...
-

这种糖尿病最严重的并发症之一,很多糖友都忽略了,直到脚烂了才去看病…… 2025-11-14
糖尿病,这个我们耳熟能详的慢性病,本身虽不直接致命,但它的并发症却可能悄悄“偷走”健康。其中,糖尿病足是最严重、治疗费用最高、致残率和致死率最高的糖尿病并发症之一。在联合国糖尿病日,我们一起来了解糖尿...
-

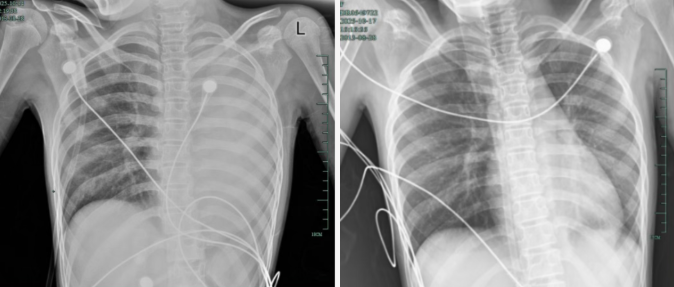
发热仅1天,肺全白了!这种病极度危险,千万别当普通感冒 2025-11-12
孩子感冒咳嗽看似常见,可12岁女孩笑笑(化名)的经历却让人感到后怕——仅发热1天,左肺就变成了“白肺”,呼吸急促到无法平躺,血氧饱和度勉强维持在90%左右,情况十分危急!治疗前后影响对比,左肺从“白肺”到正...

无障碍浏览
长者浏览助手

